医院简介 About us 专家团队 Hospital expert 诊疗项目 project
首页 > 产科中心 > 围产保健 >
围产保健

胎盘早剥超声波检查能看出来吗?

温馨提示:胎盘在胎儿在生长发育过程中占十分重要的地位,超声检查是胎盘的主要检查方法,它安全、方便且易行,通过它还能发现胎盘的各种异常症状,比如胎盘早剥。
 
 

 微信图片_20210225082802.png

  ”胎盘早剥的临床诊断,主要是依据临床表现和超声检查确定。所以在大部分情况下,胎盘早剥可以在B超底下看出来。超声检查.可以了解胎盘部位以及胎盘早剥的类型.胎盘早剥的范围,并可明确胎儿大小以及存活的情况等。但是需要注意的是,有极少部分病人,胎盘早剥在超声检查下,会出现阴性结果。也就是说不能看出来,这种主要是对于胎盘附着于子宫后壁时,所以如果超声检查子宫后壁胎盘,胎盘早剥有时候,也可以看不出来。

  胎盘在胎儿在生长发育过程中占十分重要的地位,超声检查是胎盘的主要检查方法,它安全、方便且易行,通过它还能发现胎盘的各种异常症状,比如胎盘早剥。

微信图片_20210225083116.jpg

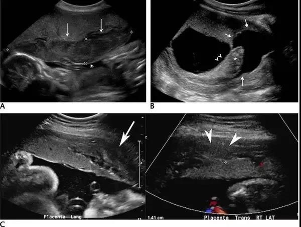
  胎盘早剥的超声诊断:A 为孕 24 周时的胎盘横切面,胎盘表面(长箭头)与羊膜(短箭头)之间可见一个较大的低回声区,此为胎盘前早剥。B 为孕 11 周的子宫矢状面,可见胎盘后的慢性无回声出血灶(长箭头),并延伸至绒毛下空间(短箭头),星号示出血灶导致胎盘边缘抬起。C 为另一孕 27 周伴无痛性阴道出血患者的子宫矢状面及横切面,长、短箭头所指回声为胎盘后的亚急性出血灶。

 
 
 
 

  1

  胎盘早剥(placental abruption)是指妊娠20周后或分娩期,正常位置的胎盘在胎儿娩出前,部分或全部从子宫壁剥离,发病率为0.4%~1.0%。

  正常胎盘B超表现

微信图片_20210225083243.jpg

  正常胎盘在超声图中实质呈中等回声,光点细而均匀,胎盘后方由蜕膜、子宫肌层、子宫血管形成的“胎盘后复合体”,呈混合回声。

  胎盘早剥超声表现

微信图片_20210225083328.png

  典型的胎盘早剥超声表现:超声表现为胎盘明显增厚,胎盘实质回声不均匀,胎盘血肿为增厚的胎盘实质内或后方见混合回声包块。

  不典型的胎盘早剥超声表现:(1)胎盘与宫壁间较小的圆形低、无回声,甚至在胎盘与宫壁间仅见窄带状、眉笔样低无回声,与宫壁分界欠清晰;(2)胎盘仅局部增厚,内部回声均匀;(3)胎盘弥漫性增厚,回声均匀增强,与肌壁间未见异常回声。

 
 
 
 

  2

  由于剥离位置和面积大小不同,临床表现千变万化,到目前为止,胎盘早剥的诊断仍然是结合患者的临床症状、体征及影像学资料的临床诊断。

  彩超跟b超,彩超比b超清晰很多,检查的也更为准确,对胎儿来说,彩超首先能排除畸形,能够检查胎儿的发育情况。

微信图片_20210225083422.jpg

 
 
 
 

  美国GE四维彩超

  佛山都市妇产医院以公认较好仪器——美国GE四维彩超,4D动态成像为宝宝护航。

微信图片_20210225083514.jpg

  四维彩超是佛山都市妇产医院最具特色的项目,引进的美国GE四维彩超,超越普通四维彩超的局限性,引领超声领域。能够更全面、更精确地检测胎儿的生长发育状况、胎盘环境、子宫状况等;显像更清晰立体,孕妈可实现同步观看,更好的欣赏到宝宝在腹中的各种动作和表情,也更有利于医生为宝宝做排畸检查。不存在射线,光波和电磁波等方面的辐射,为孕妈和宝宝提供的健康保障。

  1.清晰可见胎宝的每一次抬手眨眼。

  2.排畸细到毫米,健康状况精准呈现。

  3.心脏图像分析,实时聆听胎宝精确数据更放心。

  高清显示腹中宝宝的实时动态“动画”,从五官、四肢到脏器,胎宝发育全面呈现!家属也能陪同观看,直观了解宝宝的一举一动。

  检查后参加活动还送全程动态影像,为宝宝留下一份特别的纪念。

  建议:妊娠20周后,孕妇应多学习、了解胎盘早剥相关知识,在日常生活中注意加强营养,注意卫生,防感染,避免外伤, 并定期产检。

 
 

 

温馨提示:

有任何不明白需要咨询服务,请点击“在线客服”进行沟通咨询,或拔打400热线:400-0138-120进行电话客服咨询。欢迎您为我们的服务提供宝贵意见和建议,祝大家身体健康,多运动,健康饮食,远离疾病!

推荐你感兴趣的