盆底四维超声 | 女性盆底功能障碍性疾病
美少女的疑惑
为什么我憋不住尿?为什么我咳嗽、打喷嚏、大笑会漏尿?为什么我的腰酸背痛腿胀痛总是治不好??为什么我性生活时没感觉???为什么阴道会排气!为什么感觉阴道口有东西堵在那里?!!
超声科温馨提醒您:
我们在生活中常会遇到这样的情况,其实这些都是盆底功能障碍性疾病(PFD)的症状,做盆底四维超声进行盆底功能的筛查非常重要。
那么,何为盆底超声呢?
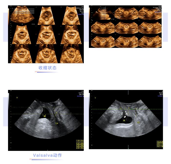
盆底超声就是应用超声探头经会阴来观察比较女性静息,缩肛,Valsalva状态盆腔器官的变化,评估盆腔器官下移程度及盆腔肌肉组织损伤程度。
盆底超声
无辐射、无创伤、无造影剂过敏风险
经济快捷
可以实时动态观察不同状态下盆底结构和功能的变化
可以直接观察盆腔脏器的结构和位置改变
  可以获得盆底完整的声像图


为什么要进行盆底超声检查?
盆底四维超声是诊断盆底功能障碍首选的检查方法,目前已被广泛应用于盆底功能障碍性疾病的诊断和治疗后疗效的评估。
以前对盆底功能障碍的诊断只是依靠临床医生触诊才发现或盆腔脏器脱出阴道才发现,一般症状明显,需手术治疗,且易复发。
现在随着超声诊断技术的发展,以实现了超声对盆底功能的早发现、早诊断,早期预防,在临床症状出现前或症状较轻时通过物理治疗(盆底肌锻炼、生物反馈治疗)来恢复盆底支持结构的功能,避免或延缓手术治疗,提高患者生活质量,同时减轻家庭和社会的医疗经济负担。
每一个女人都和花有共同的愿望
那就是花期更长久,过程更美丽
妊娠和分娩会对盆底组织造成损伤
早期变化我们无法觉察
如果您或您身边的朋友
有以下症状:
当咳嗽或大笑时有漏尿,感觉有东西从阴道里掉出来;妊娠开始到产后一直便秘,阴道松弛;性交痛等……
这些都是盆底功能障碍性疾病。这是由于妊娠、分娩等原因导致盆腔支持结构薄弱而造成盆腔脏器位置和功能异常的一种疾病。

有这些烦恼,您可以在本公众号直接预约
盆底四维超声检查适应症状:
1、产后42天盆底功能的早期筛查
2、反复泌尿系感染、尿急、尿频或与膀胱相关的疼痛
3、压力性尿失禁:咳嗽、打喷嚏、运动时漏尿
4、膀胱、子宫、直肠脱垂:会阴部膨出物或下坠感
5、排便梗阻的症状:排便费力、慢性便秘
6、产伤性肛提肌及肛门括约肌损伤的评估
7、盆底修复术前、术后及盆底康复疗效的评估
盆底四维超声
检查优势:
1、是诊断盆底功能首选的影像检查方法,临床检查仅能判断外部形态改变,超声检查可以对深部肌肉以及脏器情况准确评估。
2、可以发现早期尚未出现临床症状的患者,对于一些症状严重的中老年女性,可帮助临床确定治疗方式。
3、无辐射、无创伤,无造影剂引起的感染过敏;经济快捷;可重复性高;易于患者接受。
盆底四维超声
检查时间:
1、产后42天-6个月进行盆底四维超声检查,在产后1年内进行盆底康复治疗,这是盆底康复的“黄金时间”,理想或者有效时间为1年-3年内
2、围绝经期女性均应行盆底超声筛查
3、可疑盆底功能障碍的女士均应随时行盆底超声检查
4、尿失禁、子宫脱垂、顽固性便秘等症状时
通过产后的盆底超声检查我们可以尽可能早地评估腔室的情况
通过物理治疗(盆底肌锻炼、生物反馈和盆底磁疗等)来加强盆底支持结构的恢复
让自己更加健康、自信让婚姻更加甜蜜、幸福
有任何不明白需要咨询服务,请点击“在线客服”进行沟通咨询,或拔打400热线:400-0138-120进行电话客服咨询。欢迎您为我们的服务提供宝贵意见和建议,祝大家身体健康,多运动,健康饮食,远离疾病!









 
  
  
 
 
       
      